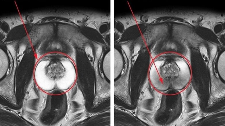
La prostatite est une maladie purement masculine. Elle se caractérise par une inflammation de la prostate. C'est assez douloureux et provoque une gêne chez l'homme. Dans le même temps, beaucoup ignorent le problème et ne font ainsi qu’aggraver leur état. Cela fait que la forme aiguë de la maladie devient chronique. Les symptômes apparaissent avec une certaine fréquence puis disparaissent complètement.
La question de savoir comment guérir la prostatite chronique est la plus pertinente dans une telle situation.
Caractéristiques
Récemment, de plus en plus d'hommes se plaignent de sensations de brûlure, de crampes, de douleurs lors de la miction, d'une diminution de la puissance et d'une capacité de reproduction limitée. Fondamentalement, ce sont tous des signes de prostatite. Comme le montre la pratique, les raisons de son apparition sont nombreuses et la maladie affecte le corps à différents âges.
Seul un traitement opportun et correct aidera à éliminer la maladie. Il est donc important de consulter un médecin dès les premiers signes. Il procédera à une série d'examens, prescrira des tests et effectuera d'autres procédures. Sur la base des résultats obtenus, un diagnostic est posé et la méthode de traitement la plus efficace est déterminée.
Cependant, de nombreux hommes sont sensibles à cette question et tentent donc de cacher leurs défauts. Cela complique l'évolution de la maladie et la forme aiguë devient chronique. Cette dernière est beaucoup plus difficile à gérer et nécessite plus de temps et d’efforts. Dans ce cas, on ne peut se passer d'un certain nombre de restrictions et du respect de certaines recommandations. De plus, une forme de thérapie n’apportera pas le succès souhaité ; une combinaison de ceux-ci est requise.
Traitement
Les patients atteints de prostatite chronique souhaitent savoir si elle peut être guérie et comment elle est traitée. Cette question est tout à fait logique car tout homme souhaite vivre une vie normale sans aucun inconfort. Le traitement de la prostatite chez les hommes est un processus complexe et long. Cela nécessite une approche correcte et responsable. Dans le même temps, vous ne devez pas vous soigner vous-même ; Il est préférable de demander l'aide d'un spécialiste et d'effectuer les manipulations nécessaires uniquement sous sa supervision.
Les principales méthodes de traitement de la prostate comprennent :
- médecine traditionnelle;
- prendre des médicaments;
- physiothérapie;
- Exposition thermique ;
- électrothérapie et thérapie au laser;
- Régime.
De plus, il existe différentes approches thérapeutiques selon le type de maladie : bactérienne et abactérienne. Pour le premier type de maladie, la prise d’antibiotiques est logique. Le déroulement d'une telle thérapie est long mais efficace. Dans le traitement du second, on utilise principalement une série de médicaments puissants, dont l'action vise à détruire la microflore infectée. De plus, cela élimine les facteurs de stagnation.

Des procédures supplémentaires sont souvent utilisées pendant le traitement. Par exemple, un massage transrectal. Il est très efficace contre la prostatite chronique. Elle est réalisée par une personne spécialement formée. Fondamentalement, un médecin possède ces compétences. La durée du massage est de 12 à 15 procédures, effectuées sur une période d'un mois.
L'exercice physique a également un effet positif sur le corps d'un patient atteint de prostatite. Par exemple, faire du jogging matin et soir, nager. L'objectif principal de l'exercice est d'accélérer la circulation sanguine dans le corps, ce qui lui donne une force supplémentaire. De plus, ils ont un effet positif sur l'état des jambes et du bassin, où se produisent souvent stagnation et prostatite.
De nombreux experts recommandent de durcir le corps - cette procédure ne fait que compléter le traitement. Puisqu'il active le travail de tous les organes du corps du patient.
Médecine traditionnelle
Les remèdes populaires sont souvent utilisés dans le traitement de diverses maladies. Est-il possible de traiter la prostatite chronique avec cette méthode ? Beaucoup de gens sont inquiets. L’utilisation d’herbes, de fleurs, de miel et de bains est très efficace contre ces affections. Cela permet de guérir la prostatite à la maison. De plus, cela est facile à réaliser et peut être réalisé avec des coûts financiers minimes.

Vous pouvez lutter efficacement contre la prostatite en utilisant les remèdes populaires suivants :
- Branches de noisetier et aiguilles de pin. Les plantes doivent être versées avec de l'eau bouillante et laissées infuser. Versez-le ensuite dans un bol et laissez-le reposer dans le liquide. Un bain similaire est effectué plusieurs fois par jour pendant deux semaines. La durée d'une procédure est de 15 à 20 minutes ;
- Graines de citrouille. Cette plante est riche en zinc, indispensable au corps masculin. Cela permet de traiter de nombreuses plaintes rapidement et efficacement. Les graines de citrouille peuvent être consommées nature 25 à 30 fois par jour ou utilisées pour préparer une solution spéciale. La deuxième application est la suivante. Il est nécessaire de broyer les graines jusqu'à obtenir un état pâteux. Un hachoir à viande y contribue. Ajoutez 150 grammes de miel. Mélangez soigneusement tous les ingrédients et roulez en petites boules. Celui-ci doit être conservé dans un endroit frais. Prendre une à deux boules par jour avant les repas. En même temps, il doit être soigneusement mâché ;
- Miel et chélidoine. Ce remède est principalement utilisé après un traitement médicamenteux de la prostatite, lorsque l'inflammation aiguë a été soulagée. Un bouillon spécial est préparé à partir de ces ingrédients. Vous devez prendre de l'herbe de chélidoine sèche et cuire pendant 30 minutes. Filtrez ensuite et ajoutez le miel. Après préparation, le bouillon est versé dans un récipient en verre et conservé dans un endroit frais et sombre. Il est recommandé de prendre 10 grammes trois fois par jour avant les repas ;
- Décoction d'avoine. Vous devez prendre le produit et cuire pendant 30 minutes. Filtrez ensuite et buvez un verre plusieurs fois par jour. La durée du traitement de cette manière est d'environ deux mois. Dans ce cas, il est nécessaire de faire une pause tous les cinq jours après avoir utilisé la décoction. Pendant une telle thérapie, vous devez éviter toute activité physique intense. Par exemple, aller à la salle de sport. Les résultats du traitement avec des remèdes populaires ne vous feront pas attendre ; Ils seront visibles d’ici une semaine, mais il ne faut pas s’arrêter là. Pour que la guérison se produise et que la maladie disparaisse pour toujours, il est nécessaire de suivre l'intégralité du cours ;
- Persil. Cette plante a une composition riche qui contient un certain nombre de substances utiles et cicatrisantes. Ils résistent bien aux processus inflammatoires dans la région génitale et restaurent leur fonction. Pour guérir la prostatite, vous devez passer le persil dans un presse-agrumes. Le liquide obtenu doit être pris plusieurs fois par jour à raison d'une cuillère à soupe. Vous pouvez également utiliser les graines de la plante. Ils sont réduits en poudre, versés avec de l'eau bouillante et bouillis pendant vingt minutes. Laissez-le ensuite refroidir et buvez une cuillère à soupe avant consommation.
Les maladies chroniques peuvent être guéries avec d'autres remèdes populaires. Par exemple, l'absinthe. Cette plante aide à soulager l’inflammation et à tuer les infections pyogènes. L'absinthe doit être frottée avec les mains avant utilisation. Après cela, une partie est consommée sous forme pure et une décoction spéciale est préparée à partir de l'autre, qui est utilisée pour rincer l'urètre.
L'amertume de la plante a un effet positif sur l'organisme. Il nettoie le corps des bactéries nocives devenues des agents infectieux. C'est la seule façon de se débarrasser complètement de la maladie.
Le schéma d'utilisation d'un tel outil est le suivant :
- Au début du traitement il faut consommer une pincée de la plante. Assurez-vous ensuite de boire un verre d'eau. La procédure doit être effectuée toutes les deux heures. La durée du traitement est donc de trois jours. Peu importe le moment où le repas est pris. De nos jours, le médecin traitant recommande de ne pas faire de pause. L'herbe doit être prise à intervalles égaux la nuit ;
- Le traitement ultérieur n'a lieu que pendant la journée. Vous devez manger une pincée d'absinthe cinq ou six fois. La durée d'un tel accueil est de quatre jours ;
- Des procédures supplémentaires avec l'absinthe sont nécessaires le soir. Ils se présentent sous forme de microlavements. Pour le préparer, vous avez besoin d'une cuillère à café d'herbes sèches. Ajoutez un verre d'eau et faites-le bouillir. Après cela, le bouillon est filtré et refroidi à une température de 37 degrés. Pour la procédure, 50 ml de liquide doivent être prélevés. L'injection se fait dans l'anus. Dans ce cas, aucune selle n'est observée. 50 ml supplémentaires de solution doivent être injectés dans l'urètre. La durée du traitement est d'une semaine. La stagnation se produira dans quelques jours.
Régime
Pour obtenir le résultat souhaité du traitement avec des remèdes populaires, vous devez suivre un régime. Elle consiste à éliminer de l’alimentation les produits gras et laitiers, les œufs et les sucreries. De plus, vous devez limiter votre consommation de pain. Il n'est autorisé que sous forme sèche et en quantités ne dépassant pas 200 grammes par jour. De plus, il est nécessaire d’éviter l’alcool, les cigarettes et autres substances nocives pendant la période de traitement.

Lorsque nous parlons de produits autorisés, ceux-ci incluent les légumes et les fruits. Puisqu'ils sont riches en fibres, vitamines et autres substances utiles. Vous pouvez manger des céréales, des noix et de l’huile de tournesol.
Traitement médicamenteux
Les remèdes populaires ne peuvent souvent pas guérir la prostatite chronique. Ils sont principalement utilisés en association avec un traitement médicamenteux ou prescrits à la suite de celui-ci. En pratique, l’utilisation de médicaments s’avère bien plus efficace dans la lutte contre la maladie. Ils aident rapidement à guérir le patient.
Les antibiotiques et les suppositoires rectaux sont généralement prescrits pour le traitement médicamenteux. La première méthode permet de détruire les bactéries qui ont conduit au développement de la maladie. Ils doivent être utilisés avec une extrême prudence et strictement selon le schéma. Parce qu’ils peuvent s’accumuler dans la prostate.
Le traitement est également possible avec des suppositoires rectaux. Ils permettent un soulagement rapide des symptômes associés à la maladie. De plus, ils bloquent le processus inflammatoire et ont un léger effet sur les parois du rectum. Les suppositoires rectaux n'ont pas d'effets secondaires fréquents lors de la prise d'antibiotiques.
La prostatite chronique est généralement curable. L'essentiel est de suivre les recommandations de votre médecin. Avec la bonne approche pour résoudre le problème, guérir la maladie ne sera pas difficile. Cependant, vous ne devez pas laisser votre état conduire à une forme chronique de prostatite ; Il est préférable de demander de l'aide dès le début.
Dès que vous ressentez une gêne en urinant, vous devriez consulter un médecin. Cela aidera à déterminer la cause du malaise. Si nécessaire, il sélectionnera un traitement efficace contre la maladie. Cela permet à l’homme de reprendre sa vie normale sans aucune gêne.






















